Гистероскопия — зондирование матки при эндометриозе Гистероскопия при эндометриозе – это гинекологическая диагностическая процедура,
Молочница после гистероскопии Специальным зондом (железная палочка) врач входит в канал шейки матки и
Гипотрофия плода Гипотрофия плода – это состояние, при котором физические параметры ребенка отстают от
Гистероскопия: послеоперационный период, основные рекомендации, возможные последствия, когда рекомендована, что показывает, особенности проведения Гистероскопия
Кому помогла гистероскопия при бесплодии Всегда настораживает все неизвестное. Цель этой статьи – помочь
Лечение плацентарного полипа → Гинекология и акушерство → Заболевания → Полипы → Плацентарный полип
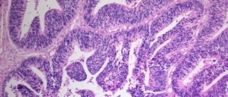
Гистология: что это такое в онкологии и расшифровка для людей Самое главное в начале
Плацента Плацента- провизорный орган с многочисленными функциями, за счет которых обеспечивается связь развивающегося плода
Гистология кисты яичника после операции и во время нее Многие женщины воспринимают гистологическое исследование
Гистология замершей беременности: зачем нужна и что показывает, как проходит исследование? Многие женщины пережили